Signs Of Renal Cancer In Males : Kidney Failure Types Symptoms Causes And Treatment : Although it doesn't always draw as much attention as other types of cancer, kidney cancer is one of the 10 most common cancers, especially among people over 55.
Dapatkan link
Facebook
X
Pinterest
Email
Aplikasi Lainnya
Signs Of Renal Cancer In Males : Kidney Failure Types Symptoms Causes And Treatment : Although it doesn't always draw as much attention as other types of cancer, kidney cancer is one of the 10 most common cancers, especially among people over 55.. Cancer spreads outside the kidney, to multiple lymph nodes or to distant parts of the body, such as the bones, liver or lungs. Signs and symptoms of kidney cancer. The tumor is 7 cm across or smaller and is only in the kidney. Instead, metastatic kidney cancer may cause symptoms in the newly affected areas of the body including: Each year, more than 62,000 americans are diagnosed with kidney cancer.
Symptoms of kidney cancer the most common sign of kidney cancer is blood in the urine (hematuria), which may appear rusty or dark red. People with kidney cancer may experience the following symptoms or signs. Bloody urine is typically the earliest noticeable sign of kidney cancer. The key, as is the … More frequently, the cause is smoking, says dr.
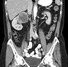
Kidney Tumors In Children And Teens Together from stjude.scene7.com The american cancer society estimates that the number of new diagnoses for 2018 will be: You may also experience difficult or painful urination. As a rule it is painless. A loss of total body mass occurs in an individual when their energy balance shifts from neutral or positive to negative. Although it doesn't always draw as much attention as other types of cancer, kidney cancer is one of the 10 most common cancers, especially among people over 55. Skin cancer is the most common type of cancer among both men and women, and moles are a good way of detecting it. The risk of kidney cancer increases with age. You may also experience difficult or painful urination.
It is important to note that the signs of kidney cancer are shared by many other benign (noncancerous) conditions.
You feel the need to urinate more often. You may also experience difficult or painful urination. In addition, kidney cancer often doesn't show any obvious signs, especially in the early stages. Although it doesn't always draw as much attention as other types of cancer, kidney cancer is one of the 10 most common cancers, especially among people over 55. The risk of kidney cancer increases with age. In men, the development of a varicocele, or a clump of enlarged veins, may appear around a testicle. 97,220 new cases of colon. Dry and itchy skin can be a sign of the mineral and bone disease that often accompanies advanced kidney disease, when the kidneys are no longer able to keep the right balance of minerals and nutrients in your blood. In addition, the spread of kidney cancer to other parts of the body (metastatic disease) gives the first warning signs of the disease (such as a cough or bone pain) in 30 percent of people. Kidney cancer is cancer that begins in the kidneys. And when the gender is taken into account, it is also diagnosed more often in men than women. Instead, metastatic kidney cancer may cause symptoms in the newly affected areas of the body including: Even the slightest amount of blood will affect the color of your urine, giving it either a brown or pink discoloration.
Although it doesn't always draw as much attention as other types of cancer, kidney cancer is one of the 10 most common cancers, especially among people over 55. Blood in the urine (hematuria) low back pain on one side (not caused by injury) a mass (lump) on the side or lower back You may also experience difficult or painful urination. You may also experience difficult or painful urination. Urine may have a pinkish hue or appear dark red.
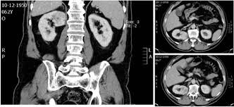
Kidney Cancer Symptoms Male Sex Hormones Could Be Reason Why More Men Suffer Express Co Uk from cdn.images.express.co.uk And when the gender is taken into account, it is also diagnosed more often in men than women. In general, the following are common procedures and tests to diagnose kidney cancer: The american cancer society estimates that the number of new diagnoses for 2018 will be: You feel the need to urinate more often. In addition, the spread of kidney cancer to other parts of the body (metastatic disease) gives the first warning signs of the disease (such as a cough or bone pain) in 30 percent of people. It's a good idea to see your doctor for any bleeding that's not normal, even if you don't. Even the slightest amount of blood will affect the color of your urine, giving it either a brown or pink discoloration. Abnormal changes in urine and blood may signal a problem in the kidney such as cancer.
Kidney cancer represents about 3.7 percent of all cancers in the united states.
Plus, many possible kidney cancer symptoms, like blood in the urine, can also result from less. Even the slightest amount of blood will affect the color of your urine, giving it either a brown or pink discoloration. Breast lumps are relatively reliable. Tests and procedures used to diagnose kidney cancer include: It is important to note that the signs of kidney cancer are shared by many other benign (noncancerous) conditions. It is more common in men than in women. Dry and itchy skin can be a sign of the mineral and bone disease that often accompanies advanced kidney disease, when the kidneys are no longer able to keep the right balance of minerals and nutrients in your blood. Today, the most common symptoms of kidney cancer are anemia, fatigue, weight loss, loss of appetite, and a fever. In 2019, about 73,820 new cases of kidney cancer will occur. Feeling a mass on your abdomen, side, or lower back. As a rule it is painless. In addition, kidney cancer often doesn't show any obvious signs, especially in the early stages. Cancer spreads outside the kidney, to multiple lymph nodes or to distant parts of the body, such as the bones, liver or lungs.
Most symptoms have to do with your kidney function and tumor growth. Some possible signs and symptoms of kidney cancer include: There may be enough blood to change the color of the urine to orange, pink, or, less often, dark red. In addition, the spread of kidney cancer to other parts of the body (metastatic disease) gives the first warning signs of the disease (such as a cough or bone pain) in 30 percent of people. Lungs, causing cough and shortness of breath bones, resulting in bone pain or fracture brain, presenting as headaches, confusion or seizures
Kidney Cancer Symptoms Of The Disease Include Night Sweats Express Co Uk from cdn.images.express.co.uk It is important to note that the signs of kidney cancer are shared by many other benign (noncancerous) conditions. Therefore, symptoms of the disease usually appear when the. Plus, many possible kidney cancer symptoms, like blood in the urine, can also result from less. The key, as is the … Blood in the urine is the main symptom of kidney cancer, but there are other signs. Sometimes, people with kidney cancer do not have any of these changes. In men, the development of a varicocele, or a clump of enlarged veins, may appear around a testicle. Symptoms kidney cancer usually doesn't have signs or symptoms in its early stages.
Even the slightest amount of blood will affect the color of your urine, giving it either a brown or pink discoloration.
A loss of total body mass occurs in an individual when their energy balance shifts from neutral or positive to negative. 97,220 new cases of colon. Although it doesn't always draw as much attention as other types of cancer, kidney cancer is one of the 10 most common cancers, especially among people over 55. Kidney cancer is cancer that begins in the kidneys. Kidney cancer represents about 3.7 percent of all cancers in the united states. There may be enough blood to change the color of the urine to orange, pink, or, less often, dark red. Lungs, causing cough and shortness of breath bones, resulting in bone pain or fracture brain, presenting as headaches, confusion or seizures Colorectal cancer is the third most common cancer diagnosis for both women and men in the united states. Over 14,000 americans will die from the disease this year, but with advancing treatments, many more will extend their life and vitality. Feeling a mass on your abdomen, side, or lower back. More frequently, the cause is smoking, says dr. Pain in the side or lower back. It is one of the ten most common cancers in both men and women.
Yuk, sajikan resep pempek kapal selam telur asin ini di meja makan sebagai kudapan istimewa … 2 buah bongkot atau batang muda kecombrang; 08.11.2021 · bunga kecombrang merupakan jenis tumbuhan rempah yang biasanya diolah jadi sayur atau bumbu. Bahan utama yang diperlukan adalah bongkot, batang dari kecombrang yang merupakan tanaman khas bali. Nikmati dan bagikan pengalaman memasak di cookpad. Serbasambal Resep Sambal Teri Kecombrang Pete Dijamin Nagih Aneka Resep Dan Cara Masak from 2.bp.blogspot.com Resep sambal goreng ati ampela yang pedas dan nikmat banget! / ˌ n ɑː s i ɡ ɒ ˈ r ɛ ŋ /) is a southeast asian fried rice dish, usually cooked with pieces of meat and vegetables. 2 buah bongkot atau batang muda kecombrang; 7 buah cabai rawit, … Yuk, sajikan resep pempek kapal selam telur asin ini di meja makan sebagai kudapan istimewa … Sate di...
What Element Kills Cancer Cells - This New Compound Could Effectively Kill A Quarter Of All ... - Targeting chromatin to kill cancer based on their discovery, the researchers hypothesized that altering the structure of chromatin to make it more orderly could be one way of boosting cancer cells'. . Cells should greatly increase our ability to selectively kill these cells. In a 1997 study, researchers from the university of kansas determined that egcg is twice as powerful as resveratrol, which itself is known to kill cancer cells (see the grape cure page). Radioactive nanoparticles target cancer cells date: Since most cancer cells generate atp in a different way than healthy cells, curcumin selectively kills tumor cells with no impact on healthy tissues. These are isothiocyanates, indoles, and sulforaphane. In homeopathic therapy extremely small quantities of these dosages are given. More than a century ago, william coley. The work builds on princess margaret senio...
Wedding Card Making Online Free / Wedding Card | Ideas for Cardmaking : Add your own images, fonts and colors to make easy, beautiful diy wedding invitations. . You can write your name on card and also date and time. Make your own wedding greeting cards fast and easy with our free design templates. Download wedding card software for free. To make a wedding card online is quite easy and fun. When you've tied the knot and you are done with the celebration, you want to take out the time to thank your guests with a thank you card. Spend as little or as much time as you want to make the graphic your own. Browse our library of beautiful and elegant wedding invitation layouts to find the perfect invitation for your special day. As the tool is based on html5 canvas, you can create your images instantly. Change up the copy and font. Sub out the imagery with your photos or browse from thousands of free images right in adobe spark. ...
Komentar
Posting Komentar